Nefes borusu yırtılan hastadan sonra doktorlardan 'hapşırığınızı tutmayın' uyarısı
Nefes borusu yırtılan hastadan sonra doktorlardan 'hapşırığınızı tutmayın' uyarısı
İskoçya'da bir adamın hapşırığını tutmaya çalışırken boğazında bir yırtık oluşması üzerine doktorlar uyarıda bulundu.
Haber Giriş Tarihi: 14.12.2023 17:37
Haber Güncellenme Tarihi: 14.12.2023 17:37
Kaynak:
Haber Merkezi
https://www.lodoshaber.com
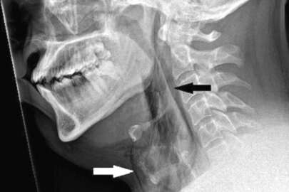
30'lu yaşlardaki hasta, hapşırığını bastırmak için burnunu sıkıp ağzını kapattıktan sonra şiddetli ağrılar içinde Dundee'deki bir hastaneye götürüldü.
Yapılan taramalarda hastanın nefes borusunda 2 milimetrelik bir yırtık olduğu ortaya çıktı.
Dundee Üniversitesi sağlık görevlileri, hapşırma sırasında hem ağız hem de burun kapatılırsa, üst solunum yollarındaki basıncın yaklaşık 20 kat artabileceğini belirtiyor.
Bu da kulak zarı yırtılması, anevrizma ve hatta kaburga kırılması gibi yaralanmalara yol açabilir.
Doktorlar hastayı muayene için boynuna dokunduklarında bir çıtırtı sesi duymuş ve hastanın hareket kontrolünün olmadığını tespit etmişti.
İsmi açıklanmayan hasta, hapşırdığı sırada araba kullanmaktaydı, ve alerji ve boğaz tahrişi gibi sorunlar yaşıyordu.
Hastaya cerrahi müdahale gerekmemiş ve gözlem için hastanede tutulmuştu.
Taburcu edildiğinde kendisine ağrı kesici ve saman nezlesi ilacı verildi. Doktorlar ayrıca iki hafta boyunca yorucu fiziksel aktivitelerden kaçınmasını tavsiye etti.
Beş hafta sonra yapılan taramada yırtığın iyileştiği görüldü.
Raporu hazırlayan Dr. Rasads Misirovs, "Burnu sıkışık ve ağzı kapalı bir şekilde hapşırırken soluk borusunda hızlı bir şekilde basınç oluşması nedeniyle soluk borusunun yırtıldığından şüpheleniyoruz" dedi ve bu risk nedeniyle, ağzı ve burnu kapatarak, hapşırmanın bastırılmaması konusunda uyardı.
Tıbbi adıyla "spontane trakeal perforasyon" olarak bilinen ani boğaz yırtılması nadir görülse de potansiyel olarak hayati tehlikeye yol açabilir.
Sizlere daha iyi hizmet sunabilmek adına sitemizde çerez konumlandırmaktayız. Kişisel verileriniz, KVKK ve GDPR
kapsamında toplanıp işlenir. Sitemizi kullanarak, çerezleri kullanmamızı kabul etmiş olacaksınız.
En son gelişmelerden anında haberdar olmak için 'İZİN VER' butonuna tıklayınız.
Nefes borusu yırtılan hastadan sonra doktorlardan 'hapşırığınızı tutmayın' uyarısı
İskoçya'da bir adamın hapşırığını tutmaya çalışırken boğazında bir yırtık oluşması üzerine doktorlar uyarıda bulundu.
30'lu yaşlardaki hasta, hapşırığını bastırmak için burnunu sıkıp ağzını kapattıktan sonra şiddetli ağrılar içinde Dundee'deki bir hastaneye götürüldü.
Yapılan taramalarda hastanın nefes borusunda 2 milimetrelik bir yırtık olduğu ortaya çıktı.
Dundee Üniversitesi sağlık görevlileri, hapşırma sırasında hem ağız hem de burun kapatılırsa, üst solunum yollarındaki basıncın yaklaşık 20 kat artabileceğini belirtiyor.
Bu da kulak zarı yırtılması, anevrizma ve hatta kaburga kırılması gibi yaralanmalara yol açabilir.
Doktorlar hastayı muayene için boynuna dokunduklarında bir çıtırtı sesi duymuş ve hastanın hareket kontrolünün olmadığını tespit etmişti.
İsmi açıklanmayan hasta, hapşırdığı sırada araba kullanmaktaydı, ve alerji ve boğaz tahrişi gibi sorunlar yaşıyordu.
Hastaya cerrahi müdahale gerekmemiş ve gözlem için hastanede tutulmuştu.
Taburcu edildiğinde kendisine ağrı kesici ve saman nezlesi ilacı verildi. Doktorlar ayrıca iki hafta boyunca yorucu fiziksel aktivitelerden kaçınmasını tavsiye etti.
Beş hafta sonra yapılan taramada yırtığın iyileştiği görüldü.
Raporu hazırlayan Dr. Rasads Misirovs, "Burnu sıkışık ve ağzı kapalı bir şekilde hapşırırken soluk borusunda hızlı bir şekilde basınç oluşması nedeniyle soluk borusunun yırtıldığından şüpheleniyoruz" dedi ve bu risk nedeniyle, ağzı ve burnu kapatarak, hapşırmanın bastırılmaması konusunda uyardı.
Tıbbi adıyla "spontane trakeal perforasyon" olarak bilinen ani boğaz yırtılması nadir görülse de potansiyel olarak hayati tehlikeye yol açabilir.
En Çok Okunan Haberler