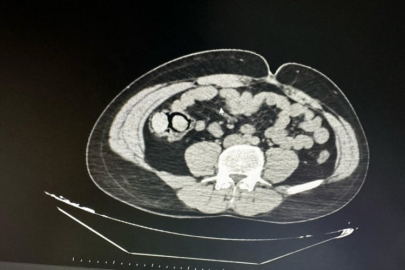
Bingöl'de akıllara durgunluk veren bir olay gerçekleşti. Otobüs yolculuğu sırasında polis ekiplerince durdurulan yabancı uyruklu iki şahsın midesinden 10 parça halinde 113 gram metamfetamin çıktı.
Haber Giriş Tarihi: 12.04.2025 16:22
Haber Güncellenme Tarihi: 12.04.2025 16:22
Kaynak:
İHA
Bingöl Emniyet Müdürlüğü Narkotik Suçlarla Mücadele Şube Müdürlüğüne bağlı narko-timleri akıllara durgunluk veren bir uyuşturucu kaçakçılığını çözdü. Ekiplerin çalışmaları neticesinde otobüs ile Bingöl'e gelen şüpheli yabancı uyruklu 2 şahsın iç beden muayenesinde 10 parça halinde 113 gram metamfetamin maddesi tespit edildi. Emniyetteki işlemlerinin ardından mahkemeye çıkarılan 2 şahıs, uyuşturucu madde ticareti yapmak suçundan tutuklanarak Elazığ Kapalı ceza infaz kurumuna teslim edildi.
Sizlere daha iyi hizmet sunabilmek adına sitemizde çerez konumlandırmaktayız. Kişisel verileriniz, KVKK ve GDPR
kapsamında toplanıp işlenir. Sitemizi kullanarak, çerezleri kullanmamızı kabul etmiş olacaksınız.
En son gelişmelerden anında haberdar olmak için 'İZİN VER' butonuna tıklayınız.
Bu kadarına da pes!
Bingöl'de akıllara durgunluk veren bir olay gerçekleşti. Otobüs yolculuğu sırasında polis ekiplerince durdurulan yabancı uyruklu iki şahsın midesinden 10 parça halinde 113 gram metamfetamin çıktı.
Bingöl Emniyet Müdürlüğü Narkotik Suçlarla Mücadele Şube Müdürlüğüne bağlı narko-timleri akıllara durgunluk veren bir uyuşturucu kaçakçılığını çözdü. Ekiplerin çalışmaları neticesinde otobüs ile Bingöl'e gelen şüpheli yabancı uyruklu 2 şahsın iç beden muayenesinde 10 parça halinde 113 gram metamfetamin maddesi tespit edildi. Emniyetteki işlemlerinin ardından mahkemeye çıkarılan 2 şahıs, uyuşturucu madde ticareti yapmak suçundan tutuklanarak Elazığ Kapalı ceza infaz kurumuna teslim edildi.
Kaynak: İHA
En Çok Okunan Haberler